• 60 years of Orotol
  • Yellow Weeks
  • 60 years of Orotol
  • Yellow Weeks
  • 60 years of Orotol
  • Yellow Weeks
  • 60 years of Orotol
  • Yellow Weeks
  • 60 years of Orotol
  • Yellow Weeks
  • 60 years of Orotol
  • Yellow Weeks
  • 60 years of Orotol
  • Yellow Weeks
  • 60 years of Orotol
  • Yellow Weeks
  • 60 years of Orotol
  • Yellow Weeks
  • 60 years of Orotol
  • Yellow Weeks
Lunos® Case Reports

Removal of discoloration

Practice Information
Charmaine Fernandez, OHT
Hoppers Crossing CIC, Australia

Patient Information
Female, Age 60
Non-smoker

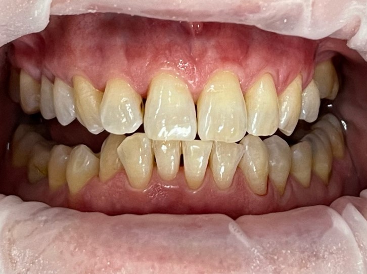
Last dental visit was >15 years ago. Noticed her teeth were appearing brown with black margins and wanted to improve their colour.

Initial Situation

The patient presented with heavy supra- and subgingival calculus. She had local areas of recession up to 3mm with PD up to 5mm. She is currently brushing once a day with no interdental cleaning.

Treatment

Oral hygiene instruction was provided. The lower arch was conducted first, with the upper arch a week later due to the heavy presence of calculus. An OptraGate was used for both visits. Supra- and subgingival calculus was removed, followed by MyLunos® powder jet handpiece and Lunos® Prophy Powder Gentle Clean Spearmint. The patient was offered LA, but declined.

“I am amazed at the colour difference… I didn’t feel the need to be numbed up.”

Patient

Feedback

Used products

Lunos® Prophy Powders

strong but gentle: The Lunos® Prophy Powders Gentle Clean and Perio Combi.

More

MyLunos® – the powder jet handpiece

Easy to handle, versatile, with radiance

More